George spent his first night in the hospital sleeping on a gurney in a private room in the ED. There was no bed available in the hospital for him, but they were planning to admit him to the bone marrow transplant floor in the Pavilion as soon as a bed became available. On Wednesday, he was back on the 14th floor – the same place he spent a month preparing for, receiving and recovering from his bone marrow transplant back in July. I can’t believe we are here again. I asked George if it was triggering and he said no, it was just familiar.
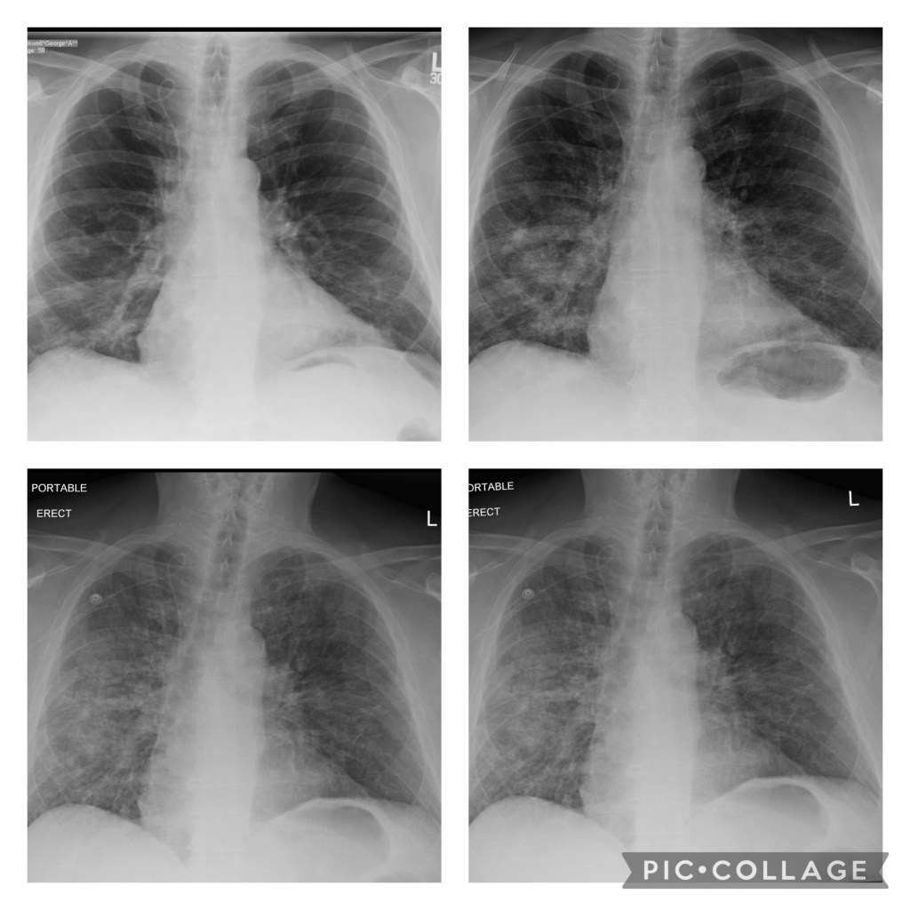
The doctors had him hooked up to three different antibiotics and he was given some heavy duty cough syrup, but he didn’t seem to be improving. He was sent down for chest X-rays pretty regularly and they showed his lungs were actually getting worse and his cough was still as persistent as ever. This concerned the pulmonology team. They now suspect he has Pneumocystis pneumonia. It is a fungal pneumonia, rather than a bacterial one, which would explain why the antibiotics aren’t doing anything.

Pneumocystis pneumonia (PCP) is a serious infection caused by the fungus Pneumocystis jirovecii. Most people who get PCP have weakened immune systems, meaning that their bodies don’t fight infections well. About 30-40% of people who get PCP have HIV/AIDS. The other people who get PCP are usually taking medicine that lowers the body’s ability to fight germs or sickness or have other medical conditions, such as:
- Chronic lung diseases
- Cancer
- Inflammatory diseases or autoimmune diseases (for example, lupus or rheumatoid arthritis)
- Solid organ or stem cell transplant
Because George has been undergoing chemotherapy which greatly lowers his blood counts and thereby his immune system, he is vulnerable to this infection.
On Wednesday, while I was there, the nurse’s aid took his vitals and his pulse oxygen registered 87%, which was quite alarming. The nurse came in and took it and got the same reading. She called for an oxygen cannula and put George on continuous oxygen.

The oxygen has a really long tube so George can move about his room without having to remove the O2.
Even with the oxygen, George still gets winded moving from one place to another. His oxygen levels dipped when he walked to the gurney to go down for a CT scan. For this reason, he hasn’t been allowed to take a shower, which is driving him insane! But he gets too winded and it’s not just a matter of being short of breath, but depriving the rest of his body of oxygen when his levels dip.

When I talked to the pulmonologist yesterday, she explained that they had originally planned to do a bronchoscopy to get a sample of George’s sputum to culture and to take a look at his lungs, but with his oxygen situation now, it would involve him being in the ICU on a ventilator for a couple of days following the procedure. She said she is pretty sure they know what they are dealing with now, so they are going to put that procedure off for the time being. We were both really happy about that! Also, George finally managed to hock up some sputum, which he had been trying to do since Monday, so they saved it and will send it to the lab.
She explained the treatment for PCP – basically steroids and an anti-fungal called Bactrim. He was started on that yesterday. I asked her how effective this treatment is on people with severely compromised immune systems, like George and she said she was “hopeful.” Not the most encouraging response I could have heard….She said that it’s a serious infection and that people do die from it.
After hearing this news from the pulmonologist, George and I asked one another “are you ok?” I said I was. George said he got choked up and is scared. I told him that it IS scary! But it’s ok to be scared and optimistic at the same time.
So, now we just wait and see if this treatment works. We are so grateful for your prayers and your good thoughts.

Leave a comment