Yesterday was George’s birthday. The love of my life turned 59 years old. We celebrated by going to the Perelman Cancer Center at UPenn for George’s scheduled labs, infusion and then appointment with Dr. Loren.
When George was getting his labs taken, the nurse said, “Hey, why don’t we just do your infusion now since you’re already back here?” George’s infusion appointment was scheduled for after his visit with Dr. Loren, so that was a great time saver! Then, while I was sitting in the waiting room waiting for George to have his transfusion, Dr. Loren appeared and took me back to his room. She said she would just do his office appointment while George was hooked up to his IV. Another time saver! George said, “I like this one-stop shopping!”


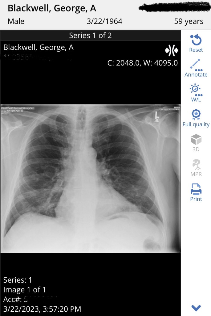
Dr. Loren started by asking George how he was doing and we told her about his fatigue and being extremely winded (or as George put it, “smoked”) after showering or climbing the stairs. She said his hemoglobin is a bit low and that could cause it. Of course, we expected it to be low because he is undergoing chemotherapy. Then he told her about his relentless cough, that sometimes makes George gag and brings him to tears because of the sheer exhaustion of it. He has had this cough since he contracted COVID-19 and subsequently pneumonia in January, but it seemed to be improving for a while. Then it just got worse. She saw that an X-ray had already been ordered by the on-call oncologist to check the placement of his PICC line, due to a concern that arose from George stumbling and catching himself with the arm that has the PICC line. So we would head to radiology after we finished with Dr. Loren. She listened to his lungs and she said they sounded clear. That’s good!
Dr. Loren then said that when she consulted with her colleagues, it was unanimous: George should have a second bone marrow transplant. She said we should plan for July, as it is best to do a second transplant at least a year out from the first one. He will be hospitalized just like last time, but the conditioning regimen won’t be as harsh as the first time. So, we just need to keep treating his disease with injections of Vidaza and the Venetoclax pills until then.
At a previous appointment, I had mentioned to Dr. Loren that I was thinking of going to Greece in April to spend Greek Orthodox Easter with my family there. She said that was a great idea and when I brought it up again yesterday, she said “I’m glad you’re going.” I don’t know what to make of that. Maybe she knows that come July, I will be tethered to the house again, so I should get out while I can. Maybe she believes I should have my own life outside of George’s illness? Who knows! Anyway, I am glad I’m going too. And my daughter, Zoe is going with me as well. Dr. Loren scheduled George’s next appointment as a telephone appointment for April 11, the morning I’m scheduled to depart for Greece.
After we finished up with Dr. Loren, we headed down to the cafeteria at the Pavilion to grab a bite to eat. George has not wanted to eat anything for the past few days and it is very worrisome. So, he was able to eat some French fries and some tomato soup.

We then dropped in at the pharmacy and picked up the prescribed cough syrup, Albuterol inhaler andFLONASE.
Last stop was radiology where George got his chest X-ray and then we headed to the parking garage and got in the car and headed for home. On the way home, George was looking at the results from his tests, and saw his X-ray results already! His PICC line was fine, but the radiologist said his impression was “patchy airspace opacities in both lung bases concerning for multifocal pneumonia.” Great. A message from a member of the oncology team let George know that they had called in a prescription for the antibiotic Augmentin in to our local pharmacy. We stopped on the way home and picked it up.


So many feelings and fears and honestly, dread. Both George and I dreading the whole bone marrow transplant saga again – the month long hospitalization, the chemo and recovery, the immunosuppressant drugs, the daily magnesium infusions, the neutropenic diet, the sanitizing of the house and clothes and bedding, the isolation…dreading the possible deadly complications from the transplant. Dreading the emotional toll on me and the emotional and physical toll on George. Dreading the possibility that it won’t work again and daring to have hope.
But we have no other choice. George, despite his sadness and exhaustion, is ready to fight this bitch called leukemia once again. And I will be right there by his side.

Leave a comment